本文へスキップ

医療法人社団 八星会の小児歯科治療のページです。

TEL. 079-253-8888

〒671-0219 兵庫県姫路市飾東町豊国399

見出し

乳歯の虫歯の注意点

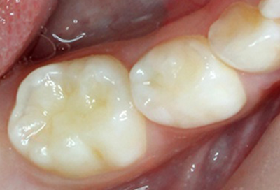
 健康に見える乳歯
 一見すると全く虫歯がないようにみえます。

 
 実はレントゲンで見てみると、歯と歯の間に大きな虫歯が隠れています。
このような隠れ虫歯は、小児歯科に慣れていない歯医者ではよく見落とされてしまい、虫歯なしと診断されてしまいます。

 穴のあいた乳歯
乳歯の大きな役割の1つに、永久歯が出てくるまでの「場所取り」があります。 
表面からパッと見て分かる穴が開くまで放置すると、乳歯の幅が小さくなるので永久歯の生える場所がなくなり、永久歯の歯ならびが悪くなってしまうのです。
永久歯の歯ならびで悩むことがないように、乳歯の虫歯は早く治すことがとても大切です。

当院における小児歯科治療の特徴

当院では、いやがるお子さんを無理やり押さえつけて治療する「抑制治療」は行いません。

抑制治療のイメージ
無理やり押さえつけて治療をする→トラウマになって歯科治療が嫌いになる→むし歯が重症化してさらに治療が嫌いになる→大人になっても歯医者が嫌いで予防処置ができない→歯を失うリスクが高まる。
この悪循環を断ち切ることが非常に大切だと考えるからです。

小児歯科治療の実際

 小児の予防歯科  

乳幼児で非協力児(上手に治療のできないお子さん)の場合、フッ化物によるむし歯の進行を抑制しながら、根気よく治療の練習を行います。
安全に治療ができるようになったら、吸入鎮静を行い恐怖心を取り除きながら、治療を少しずつ進めていきます。

 笑気吸入鎮静  

治療が安全に行えるようになったら、吸入鎮静を行いながら「痛くない・怖くない」治療を行います。
吸入鎮静は非常に安全で、注射による麻酔のように事故も副作用もありませんので、小さなお子さんにも安心して使用することができます。
他のクリニックでどうしてもうまく治療ができなかったお子さんでも、お気軽にご相談下さい。
恐怖心の強いお子様の吸入鎮静は健康保険が適用となりますので、費用のご心配はありません。


小児の予防歯科について

 

小児の虫歯予防で最も大切なことは、正しい歯みがき習慣と方法を身につけることだといえます。
当院では、お子様の虫歯予防の第一歩として、保護者とお子様に歯みがき指導と生活習慣の指導を行います。
その後、フッ素加工による歯質の強化を定期的に継続することで、環境と体質の両面からむし歯を予防していきます。

 口腔衛生指導

バナースペース

医療法人社団 八星会

〒671-0219
兵庫県姫路市飾東町豊国399

TEL 079-253-8888
FAX

orthodontics.htmlへのリンク