本文へスキップ

姫路市の医療法人社団 八星会の矯正治療のページです。

TEL. 079-253-8888

〒671-0219 兵庫県姫路市飾東町豊国399

見出し

治療可能な不正咬合の種類

 叢生  

叢生(でこぼこ)

アゴの大きさに比べて、歯の大きさが大きい場合に起こる。
見た目が悪いだけでなく、歯が磨きにくいため虫歯や歯周病になりやすい欠点がある。
その他の不正と複合している場合が多い。

 上顎前突  

上顎前突(出っ歯)

下顎に比べて、上顎が大きく前に出ている状態。
上顎が大きすぎる場合と、下顎が小さすぎる場合がある。
見た目が悪いだけでなく、発音の障害となったり口呼吸の原因となることがあります。

 反対咬合  

下顎前突(うけくち)

上顎に比べて下顎が前に出ている状態。
上顎が小さすぎる場合と、下顎が大きすぎる場合がある。
見た目が悪いだけでなく、食事がしにくかったり発音障害ににつながる場合がある。

 空隙歯列  

空隙歯列(スキッ歯)

歯の間にスキマがある状態。
歯の大きさに比べて、顎が大きすぎる場合や歯の間に異物が存在する場合に起きる。

 開咬  

開咬(オープンバイト)

奥歯をしっかり噛み合わせても、前歯が開いてかみ合わない状態。
舌の悪習慣や、指しゃぶり、前歯で物をくわえるなどの悪習慣や遺伝的要因が原因となります。

 埋伏歯  

埋伏歯(位置異常・萌出不全)

歯の生える方向が悪かったり、位置が異常であったりして、正常に生えてこれない状態。生まれつき歯の位置・方向が異常であったり、のう胞(できもの)が原因で起きることがある。


小児矯正と成人矯正

 

矯正治療には、それぞれの不正に応じて治療に適した年齢があります。
治療の開始は必ずしも早ければ良いというものではありません。発育や成長に悪影響を及ぼすような不正咬合はできるだけ早く(例えば受け口の治療なら3歳くらいから開始するほうが良い)、不正の種類によっては思春期性の成長が終わる18歳くらいまで待った方が良い場合もあります。
最適な治療時期を逃すことがないよう、歯並びが気になりだしたら、早めのご相談をおすすめいたします。

 矯正治療のイメージ

当院における矯正装置

 メタルブラケット  

Basic Metal(ベーシックメタル)

全体矯正のもっともベーシックな金属の装置による矯正です。
見た目はあまり自然ではありませんが、器具が丈夫で壊れにくく、歯が動くスピードが早いという特徴があります。

 セラミック矯正  

Basic White(ベーシックホワイト)

矯正装置はセラミックで、ワイヤーは金属を使用します。
見た目の自然さと、矯正治療のスピード、どちらも両立した装置といえます。

 セラミック治療・ホワイトワイヤー  

Premium White(プレミアムホワイト)

矯正装置・ワイヤーなどほとんどの器具が白くコーティングされており、ほとんど装置がついているようには見えず、見た目が非常に自然です。

 アクアシステム  

アクアシステム

歯の表面に器具をつけない、透明のマウスピースを使った矯正装置です。
前歯の部分的な歯ならびの不正が適応となります。

 ムーシールド  

ムーシールド(筋機能矯正装置)

幼児期の反対咬合の治療装置です。
寝ている間に装着するだけでなく、悪習慣や筋肉のトレーニングにも使用いたします。

 拡大床装置  

急速拡大装置

本格的な矯正治療の補助として使用することがありますが、これがないと矯正できないというような症例はあまりありません。あくまでも補助的な装置とお考えください。

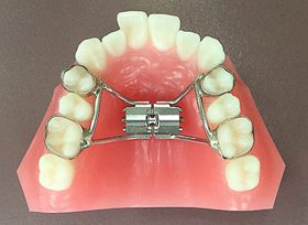
 ミニインプラント  

ミニインプラント

矯正治療に付加する装置。
おおがかりな手術などは必要なく、効率的に矯正を進めることが可能です。

バナースペース

医療法人社団 八星会

〒671-0219
兵庫県姫路市飾東町豊国399

TEL 079-253-8888
FAX