本文へスキップ

姫路の医療法人社団 八星会 審美歯科治療の紹介ページです。

TEL. 079-253-8888

〒671-0219 兵庫県姫路市飾東町豊国399

見出しHEADLINE

審美治療メニュー

健康であることは最も大切なことです。
しかし、健康なだけではなく、美しく明るい口元であることも大切なことといえます。
医療法人社団 八星会では様々な審美メニューで、健康的で明るく美しい口元を作るお手伝いをいたします。
 ホワイトニングイメージ  

ホワイトニング

歯を傷つけずに、芸能人のような輝く白い歯にします。
当院では病院で行うパワーブリーチと、自宅で行うホームブリーチを併用したパーフェクトホワイトニングを行うことで、安全で確実に歯を白く美しくします。

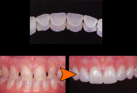
 ラミネートベニア  

ラミネートベニア セラミック

歯の表面に薄いセラミックを貼り付けて、歯の色や形をキレイにします。
ホワイニングではキレイにならない重度の歯の変色にも対応可能で、多少の歯ならびの不正ならキレイにすることができます。

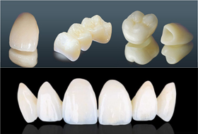
 セラミッククラウン  

セラミッククラウン

セラミックのかぶせものは保険のプラスチックと比べて、アレルギーの原因にはならず変色もしません。細菌も繁殖せず健康にとって理想的な材料といえます。当院と提携する技工所(セラミックを作るところ)は審美専門の有名な技工所ですので、技術的にもご安心ください。

 セラミックインレー  

セラミックインレー

保険の金属の詰め物は丈夫ですが見た目が自然ではありません。また保険のプラスチックは見た目は自然ですが、変色しますし細菌が繁殖しやすく磨耗しやすく強度が劣ります。
それら保険の詰め物の欠点を補うのがセラミックインレーで、見た目も自然で丈夫、細菌の繁殖や変色もありません。

 アクアシステム  

プチ矯正・アクアシステム

透明でほとんど見えないマウスピースを使用するプチ矯正・アクアシステムです。前歯の部分的な歯ならびの不正が対象となります。
他のセラミック治療と複合することで、歯並びと色調を改善することで、総合的に重度の審美障害を美しく治すことができます。

バナースペース

医療法人社団 八星会

〒671-0219
兵庫県姫路市飾東町豊国399

TEL 079-253-8888
FAX